Kroz današnje izdanje Vam donosimo objašnjenje šta se dešava osobama koje imaju crne plombe i da li one predstavljaju rizik za zdravlje. U nastavku pročitajte kako utiču na organizam i kada je vrijeme da razmislite o njihovoj zamjeni…
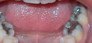
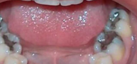
Decenijama je stomatologija bila nezamisliva bez jednog materijala koji je, uprkos svom specifičnom izgledu, postao simbol dugovječnosti u popravci zuba. Riječ je o takozvanim crnim ispunima, odnosno amalgamskim plombama, koje su više od stotinu godina dominirale ordinacijama širom svijeta. Njihova popularnost nije bila utemeljena na estetici, već na surovoj funkcionalnosti – bili su nevjerovatno čvrsti, otporni na pritisak žvakanja i, što je tada bilo presudno, pristupačni gotovo svakom pacijentu. Kako prenosi portal Nezavisne novine, generacije su odrasle s ovim metalnim rješenjima u ustima, ne dovodeći u pitanje njihovu sigurnost, jer su važili za standard koji “vječno traje”. Međutim, s razvojem nauke i tehnologije, stomatološka praksa je ušla u novu eru u kojoj se ranije prihvaćene norme podvrgavaju rigoroznim analizama.
- Danas se fokus javnosti i struke prebacio na sam sastav ovih materijala, s posebnim naglaskom na prisustvo metala koji čine njihovu osnovu. Iako su zvanične institucije dugo tvrdile da su nivoi ovih supstanci unutar strogo kontrolisanih i sigurnih granica, moderna istraživanja su počela ukazivati na suptilnije, dugoročne efekte. Poseban oprez preporučuje se kod onih najranjivijih – djece i trudnica – jer su se pojavile sumnje u to kako ovi materijali utiču na organizam tokom vremena. Ova promjena u paradigmi nije nastala preko noći, već je rezultat decenija posmatranja i težnje da medicina bude ne samo efikasna, već i potpuno bezbjedna za svakog pojedinca, bez obzira na njegove godine ili zdravstveno stanje.

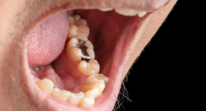
Pored hemijskog sastava, u prvi plan su isplivali i mehanički nedostaci koji su ranije bili zanemarivani. Amalgamski ispuni posjeduju osobinu širenja i skupljanja usljed promjena temperature prilikom konzumacije toplih ili hladnih napitaka. Ove mikroskopske oscilacije u dimenzijama materijala mogu uzrokovati nevidljiva naprezanja unutar samog zuba, što s vremenom dovodi do sitnih pukotina koje oko ne može detektovati.
- Prema podacima koje navodi Kurir, ovakve promjene često rezultiraju ozbiljnijim oštećenjima ili čak pucanjem zubne strukture ispod samog ispuna, što popravku čini znatno komplikovanijom. Uz sve to, u današnjem svijetu gdje je vizuelni identitet izuzetno važan, tamna, gotovo crna boja ovih plombi postala je estetski neprihvatljiva za pacijente koji teže savršenom i prirodnom osmijehu.
Kao odgovor na ove izazove, globalne zdravstvene organizacije i ekološke agencije uvele su nove, strože regulative. Ograničavanje upotrebe ovog materijala ne odnosi se samo na brigu o zdravlju pacijenata, već i na zaštitu životne sredine, s obzirom na to da određene metalne komponente mogu zagaditi prirodu ako se njima ne rukuje adekvatno. Današnji standardi nalažu da se ovakvi ispuni koriste samo u izuzetnim slučajevima, kada apsolutno nijedna druga opcija ne može pružiti željenu stabilnost. Ovaj prelazak na modernije metode označava veliki civilizacijski iskorak ka stomatologiji koja više ne pravi kompromise između zdravlja tijela i očuvanja okoliša u kojem živimo.

Savremena stomatologija danas nudi lepezu rješenja koja su vizuelno identična prirodnim zubima. Kompozitni materijali nove generacije ne samo da savršeno imitiraju boju gleđi, već se i hemijski vezuju za zub, čime se smanjuje potreba za agresivnim brušenjem zdrave zubne supstance. Postoje i naprednije keramičke opcije koje nude vrhunsku izdržljivost i otpornost na mrlje, pružajući pacijentima osjećaj prirodnosti i sigurnosti. Neka od ovih rješenja imaju čak i zaštitna svojstva, oslobađajući minerale koji dodatno jačaju okolnu strukturu zuba, što je bila nezamisliva tehnologija u vrijeme dominacije metala.
- Ipak, važno je zadržati racionalan pristup kada je u pitanju zamjena starih crnih ispuna. Stručnjaci naglašavaju da nije potrebno panično uklanjati svaku amalgamsku plombu ukoliko je ona stabilna i ne uzrokuje probleme. Zamjena se primarno savjetuje kada se uoče znakovi dotrajalosti, pojava karijesa na rubovima ili ako pacijent osjeća nelagodu i bol. Često su upravo estetski razlozi i želja za sigurnijom opcijom glavni motivi zbog kojih se ljudi odlučuju na ovaj korak. Finansijski aspekt je također bitan faktor, a trenutne inicijative idu u pravcu toga da bijele, sigurnije plombe postanu standardna usluga dostupna svim kategorijama stanovništva, čime se brišu razlike u kvalitetu njege.
Na kraju, put koji je stomatologija prešla od tamnih metala do naprednih biokompatibilnih materijala svjedoči o nevjerovatnom progresu. Kako ističe portal Mondo, osnovna ideja ovih promjena nije širenje straha, već preventivno djelovanje i podizanje svijesti o kvaliteti života.

Prelazak na dugoročno stabilna rješenja koja ne opterećuju organizam niti planetu predstavlja jedini logičan pravac u razvoju moderne medicine. Svaki pacijent danas ima priliku da učestvuje u odlukama o svom zdravlju, birajući opcije koje spajaju najbolje od tehnologije i prirode, osiguravajući sebi osmijeh koji je istovremeno zdrav, lijep i siguran. Ovaj novi pristup brizi o zubima nije samo pitanje popravke jednog oštećenja, već dio šire filozofije očuvanja opšteg blagostanja svakog pojedinca.












