Najnovije
Evo šta se dešava ljudima koji imaju crne plombe
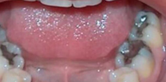
Kroz današnje izdanje Vam donosimo objašnjenje šta se dešava osobama koje imaju crne plombe i da li one predstavljaju rizik za zdravlje. U nastavku...
Izdvojeno
Evo šta se dešava ljudima koji imaju crne plombe
Kroz današnje izdanje Vam donosimo objašnjenje šta se dešava osobama koje imaju crne plombe i da li one predstavljaju rizik za zdravlje. U nastavku...
SlGURN0 NlSTE ZNALl: Puder za bebe ima M0ĆI za koje niste...
Danas Vam otkrivamo par načina na koje puder za bebe može biti koristan u svakodnevnom životu. Kroz ovaj članak saznajte za šta sve možete...
Savršen TRIK DA SE RlJEŠlTE SMRDlBUBA u stanu, na balkonu i...
Danas Vam otkrivamo trik pomoću kojeg možete riješiti problem smrdibuba u stanu, na balkonu i terasi. Otkrijte koje jednostavne metode pomažu da ih trajno...
Preporučeno
Evo šta se dešava ljudima koji imaju crne plombe
Kroz današnje izdanje Vam donosimo objašnjenje šta se dešava osobama koje imaju crne plombe i da li one predstavljaju rizik za zdravlje. U nastavku...
SlGURN0 NlSTE ZNALl: Puder za bebe ima M0ĆI za koje niste M0GLI ni sanjati!
Danas Vam otkrivamo par načina na koje puder za bebe može biti koristan u svakodnevnom životu. Kroz ovaj članak saznajte za šta sve možete...
Savršen TRIK DA SE RlJEŠlTE SMRDlBUBA u stanu, na balkonu i na terasi! ZAUVIJEK!
Danas Vam otkrivamo trik pomoću kojeg možete riješiti problem smrdibuba u stanu, na balkonu i terasi. Otkrijte koje jednostavne metode pomažu da ih trajno...
NAP0K0N 0TKRlVEN0- Evo šta su NUDLE… JESU Ll ZAlSTA NEZDRAVE..
Da li znate šta su zapravo nudle i koliko su zaista zdrave za konzumaciju? U nastavku teksta pročitajte od čega se prave, kakav im...
0V0 0DMAH URADlTE kada vam ključevi ostanu zaključni u kolima: Način je krajnje jednostavan
U današnjem članku Vam donosimo jednostavno rješenje za situaciju kada Vam ključevi ostanu zaključani u automobilu. Kroz nastavak teksta saznajte koje korake možete odmah...
Da li vam se vrti u glavi kad ustanete? EVO ŠTA JE RAZLOG I...
Danas Vam donosimo objašnjenje zašto dolazi do vrtoglavice prilikom ustajanja i kada ovaj simptom može biti znak za zabrinutost. U nastavku saznajte koji su...
Sad je pravi trenutak da zasadite ovo cvijeće i da na proljeće uživate u...
U ovom članku Vam otkrivamo koje cvijeće treba zasaditi baš sada kako biste na proljeće imali bujnu i raskošnu baštu. U nastavku saznajte šta...
Cijeli se život udovoljavate drugima? Evo kako to uništava vaše zdravlje i kako naučiti...
U današnjem izdanju članka Vam otkrivamo kako stalno udovoljavati drugima može negativno utjecati na Vaše zdravlje i emocionalnu ravnotežu. U nastavku saznajte praktične savjete...
AKO IMATE OVO OBOLJENJE, NIKAKO NEMOJTE JESTI BANANE! Odmah provjerite, izazivaju katastrofu
U ovom članku Vam donosimo važne informacije o zdravstvenim rizicima povezanim s konzumacijom banana kod određenih oboljenja. U nastavku pročitajte kada je ova popularna...
Evo zašto vam ujutro smrdi iz usta: Ne stidite se, ovo je razlog zbog...
Kroz ovaj tekst Vam otkrivamo razloge zašto mnogi ljudi ujutro imaju neugodan zadah iz usta. U nastavku saznajte šta se tačno dešava tokom noći...
VELIKI ASTRO ŠOK: Ova 3 znaka Zodijaka prolaze kroz najtežu životnu fazu u narednom...
Ukoliko ste ljubitelj astrologije i horoskopskih znakova onda ste došli na pravo mjesto. U ovom članku Vam donosimo astrološke prognoze za naredni period i...
Na sahrani ćerke došao je sa ljubavnicom – moj potez ih je sve šokirao
Ova priča je o majci koja je na sahrani svoje petogodišnje ćerke suočena s neverovatnom izdajom. U nastavku saznajte kako je jedan smireni, ali...
Čuveni onkolog otkrio kako izgleda profil osobe koja najčešće oboljeva od raka: “Ima više...
U ovom članku Vam donosimo riječi poznatog onkologa o osobama koje su najčešće sklonije razvoju raka. U nastavku saznajte koje karakteristike i životne navike...
Četvrta noć otkrila je zašto je pravu istinu o njemu
Ova priča je bazirana na životu mlade žene koja je, da bi spasila porodicu, pristala da se uda za bogatog starijeg čoveka. Na njihovoj...
Kada ptica pokuca na vaš prozor: Znak sudbine ili slučajnost koju ne biste smjeli...
U ovom članku Vam donosimo zanimljivo objašnjenje šta znači kada ptica pokuca na Vaš prozor i da li je riječ o znaku sudbine ili...



























